Caltech Brain Imaging Center
Ralph Adolphs (left) and colleague in the lab.
Credit: Caltech Brain Imaging Center
This image of brain connectivity in a person who lacks a corpus callosum, the fibrous connection between the brain's two hemispheres, was produced by Caltech Brain Imaging Center researcher Michael Tyszka, professor Ralph Adolphs, and collaborators using diffusion tensor magnetic resonance imaging.
Credit: Mike Tyszka, Caltech
Caltech Brain Imaging Center Staff
Credit: Caltech Brain Imaging Center
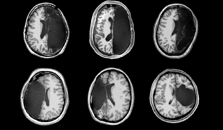
Structural images from a Caltech investigation of six of rare hemispherectomy patients, all of whom received the surgeries as children and now have relatively normal cognitive abilities. Brain networks in these patients - controlling walking, talking, and other functions - were remarkably intact. This study, published in Cell Reports [https://resolver.caltech.edu/CaltechAUTHORS:20191119-095728876] was funded by The Brain Recovery Project: Childhood Epilepsy Surgery Foundation, the National Institutes of Health, and the National Science Foundation.
Credit: Caltech Brain Imaging Center
Ralph Lee, Manager of MRI Education and Technologies, Caltech Brain Imaging Center (left) and colleague preparing a subject for scanning.
Credit: Caltech Brain Imaging Center