Research

Professor Markus Meister and his laboratory combine augmented reality technology with computer vision algorithms to create goggles that can help blind people navigate unfamiliar spaces. The Meister lab had great success with initial testing and hopes the technology can one day be offered by places like banks, grocery stores, museums, and more.
Credit: Meister lab, Caltech

3D image of cross section of a brain with the mid section lit up.
Credit: Mike Tyszka, Caltech Brain Imaging Center

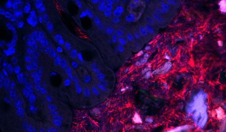
The Mazmanian laboratory has described how Bacteroides fragilis in the gut produces beneficial molecules that protect mice from inflammatory bowel disease and autism-like symptoms. Bacteroides fragilis (red) and the epithelial surface (blue) of a mouse colon. Note bacteria in the center of the gut lumen and deep within colonic crypts.
Credit: Gregory Donaldson