Caltech Scientists Find First Physiological Evidence of Brain's Response to Inequality
PASADENA, Calif.—The human brain is a big believer in equality—and a team of scientists from the California Institute of Technology (Caltech) and Trinity College in Dublin, Ireland, has become the first to gather the images to prove it.
Specifically, the team found that the reward centers in the human brain respond more strongly when a poor person receives a financial reward than when a rich person does. The surprising thing? This activity pattern holds true even if the brain being looked at is in the rich person's head, rather than the poor person's.
These conclusions, and the functional magnetic resonance imaging (fMRI) studies that led to them, are described in the February 25 issue of the journal Nature.
"This is the latest picture in our gallery of human nature," says Colin Camerer, the Robert Kirby Professor of Behavioral Economics at Caltech and one of the paper's coauthors. "It's an exciting area of research; we now have so many tools with which to study how the brain is reacting."
It's long been known that we humans don't like inequality, especially when it comes to money. Tell two people working the same job that their salaries are different, and there's going to be trouble, notes John O'Doherty, professor of psychology at Caltech, Thomas N. Mitchell Professor of Cognitive Neuroscience at the Trinity College Institute of Neuroscience, and the principal investigator on the Nature paper.
But what was unknown was just how hardwired that dislike really is. "In this study, we're starting to get an idea of where this inequality aversion comes from," he says. "It's not just the application of a social rule or convention; there's really something about the basic processing of rewards in the brain that reflects these considerations."
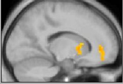
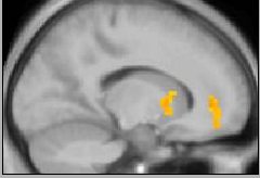
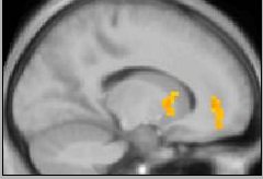
The brain processes "rewards"—things like food, money, and even pleasant music, which create positive responses in the body—in areas such as the ventromedial prefrontal cortex (VMPFC) and ventral striatum.
In a series of experiments, former Caltech postdoctoral scholar Elizabeth Tricomi (now an assistant professor of psychology at Rutgers University)—along with O'Doherty, Camerer, and Antonio Rangel, associate professor of economics at Caltech—watched how the VMPFC and ventral striatum reacted in 40 volunteers who were presented with a series of potential money-transfer scenarios while lying in an fMRI machine.
For instance, a participant might be told that he could be given $50 while another person could be given $20; in a second scenario, the student might have a potential gain of only $5 and the other person, $50. The fMRI images allowed the researchers to see how each volunteer's brain responded to each proposed money allocation.
But there was a twist. Before the imaging began, each participant in a pair was randomly assigned to one of two conditions: One participant was given what the researchers called "a large monetary endowment" ($50) at the beginning of the experiment; the other participant started from scratch, with no money in his or her pocket.
As it turned out, the way the volunteers—or, to be more precise, the reward centers in the volunteers' brains—reacted to the various scenarios depended strongly upon whether they started the experiment with a financial advantage over their peers.
"People who started out poor had a stronger brain reaction to things that gave them money, and essentially no reaction to money going to another person," Camerer says. "By itself, that wasn't too surprising."
What was surprising was the other side of the coin. "In the experiment, people who started out rich had a stronger reaction to other people getting money than to themselves getting money," Camerer explains. "In other words, their brains liked it when others got money more than they liked it when they themselves got money."
"We now know that these areas are not just self-interested," adds O'Doherty. "They don't exclusively respond to the rewards that one gets as an individual, but also respond to the prospect of other individuals obtaining a reward."
What was especially interesting about the finding, he says, is that the brain responds "very differently to rewards obtained by others under conditions of disadvantageous inequality versus advantageous inequality. It shows that the basic reward structures in the human brain are sensitive to even subtle differences in social context."
This, O'Doherty notes, is somewhat contrary to the prevailing views about human nature. "As a psychologist and cognitive neuroscientist who works on reward and motivation, I very much view the brain as a device designed to maximize one's own self interest," says O'Doherty. "The fact that these basic brain structures appear to be so readily modulated in response to rewards obtained by others highlights the idea that even the basic reward structures in the human brain are not purely self-oriented."
Camerer, too, found the results thought provoking. "We economists have a widespread view that most people are basically self-interested, and won't try to help other people," he says. "But if that were true, you wouldn't see these sort of reactions to other people getting money."
Still, he says, it's likely that the reactions of the "rich" participants were at least partly motivated by self-interest—or a reduction of their own discomfort. "We think that, for the people who start out rich, seeing another person get money reduces their guilt over having more than the others."
Having watched the brain react to inequality, O'Doherty says, the next step is to "try to understand how these changes in valuation actually translate into changes in behavior. For example, the person who finds out they're being paid less than someone else for doing the same job might end up working less hard and being less motivated as a consequence. It will be interesting to try to understand the brain mechanisms that underlie such changes."
The research described in the Nature paper, "Neural evidence for inequality-averse social preferences," was supported by grants from the National Science Foundation, the Human Frontier Science Program, the Gordon and Betty Moore Foundation, and the Caltech Brain Imaging Center.
This saggital fMRI view of the brain shows activity in both the ventromedial prefrontal cortex and the ventral striatum.
Credit: Elizabeth Tricomi/Rutgers University